医院动态
仁心仁术|春节期间我院成功救治一名急性心肌梗死合并心源性休克冠脉三支闭塞患者
急性心肌梗死合并心源性休克且冠状动脉三支血管同时闭塞,是心血管领域中死亡率极高的危急重症。据权威医学文献报道,此类病情进展迅猛,心肌因严重缺血迅速坏死,心脏泵血功能急剧下降,导致全身重要器官灌注不足,随时可能引发多器官功能衰竭,危及生命。

春节期间,一位47岁男性患者,因间断胸痛9小时,持续性胸痛2小时, 伴血压下降急诊入我院。我院医护人员高度重视,立即对其进行检查,此时患者神志淡漠,四肢湿冷,血压85/65mmHg,心率105次/分,呼吸浅快;心电图提示V1-V4,II、III、AVF导联ST段抬高,符合急性大面积心肌梗死表现。经急诊化验肌钙蛋白8.61,血糖26.31mmol/L,快速诊断为急性ST段抬高型心肌梗死、心源性休克。随即我院医生立即对患者建立静脉通路、多巴胺血管活性药物维持灌注,同时启动胸痛中心绿色通道,患者到达导管室后意识模糊,血压73/40mmHg,心率55次/份,双侧股动脉搏动不能触及,我院心血管内科副主任医师邢彦麟、王进迅速为患者进行紧急机械循环支持,植入IABP(主动脉内球囊反搏),快速稳定血流动力学,降低心脏负荷,提升冠脉灌注,为介入手术创造条件,同时给予去甲肾上腺素联合多巴胺大剂量泵入维持血压。
1.急诊介入开通
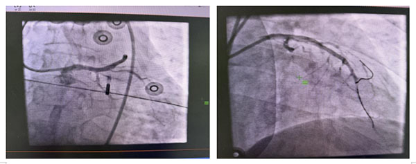
在机械辅助支持下,行急诊冠脉造影,确认三支闭塞,前降支近段急性闭塞,右冠近段慢性闭塞,回旋支远端慢性闭塞,优先开通前降支罪犯血管,导丝通过前降支,球囊扩张,快速植入1枚支架,血管开通后,血流恢复TIMI3级,恢复心肌血供,对其余慢性闭塞病变分次处理,避免长时间缺血再灌注损伤,血压维持在98/60mmHg,心率108次/分。
冠脉造影:

支架术后:

2.重症监护巩固
术后转入CCU,精细化管理IABP,控制容量、保护靶器官,预防心律失常、心衰、降糖等治疗,查床旁心脏超声示EF 30%。
3.病情变化
患者术后1小时突发意识不清,呼之不应,血压、血氧测不出,CCU值班医师反应迅速,主治医师廖钦文、吕世杰立即进行心肺复苏,10分钟后患者意识恢复,血压、心率等生命体征恢复。经积机械循环支持+抗心衰等综合救治,患者休克纠正,血压、心率、尿量恢复正常,心肌坏死得到控制,心功能逐步改善;术后6天撤出IABP, 血压100/60mmHg,心功能稳定。
目前,该患者已度过危险期,成功脱离生命危险。此次救治是我院多年深耕医疗技术、强化应急能力建设的真实写照。从精准诊断到快速响应,每一个环节都凝聚着医护团队的智慧与汗水。未来,我院将继续秉持“一切为了大众健康”的光荣使命,用扎实的行动践行"健康所系,性命相托"的誓言,为守护百姓生命健康筑起更坚实的屏障。
科室介绍

北京航天总医院心血管内科是北京南城最大的心血管内科之一,设有2个心内科普通病区,1个CCU病区及心功能室,能完成心脏超声,直立倾斜试验,心肺运动试验,心脏康复等无创检查及治疗。近年获得各级机构挂牌:心脏康复中心,胸痛中心,房颤中心,晕厥诊断单元等。全面开展了心血管内科各项介入手术,包括射频消融术、T3D消融术、脉冲消融术、左心耳封堵术、心脏再同步化治疗(CRT-D)、左束支区域起搏术、双腔ICD植入术、皮下ICD植入术、经皮主动脉瓣膜植入术(TAVR)、冠脉内旋磨技术、冠脉内震波技术、冠脉内FFR测定技术、冠脉内超声(IVUS)技术、冠脉内OCT成像。科研能力较强,近3年科室连续发表10余篇SCI及国内核心期刊杂志论文,与阜外医院、安贞医院在科研、临床保持多方面合作。作为华润心血管分委会主委单位,我们致力于为社会构建专业的、完整的、卓越的医疗服务体系,志在打造成为京南区域内最具影响力的学科品牌,成为北京市的一流特色心血管内科。
核心救治要点
● 心源性休克+三支闭塞为急性心梗最高危类型,时间就是心肌,必须绿色通道直达导管室。
● IABP双机械辅助是此类极危重患者的关键救命技术,为血运重建保驾护航。
● 极早期血运重建是根本简化流程、精准介入,是突破死亡率、实现成功抢救的核心保障。
急性心肌梗死紧急就医提醒
记住一句话:胸痛不等人,心梗抢时间,早到一分钟,多活一片心
这些症状一出现,立刻警惕心梗,及时就诊
有以下症状务必尽快就医:
● 胸口压榨样、紧缩样、闷痛,像石头压着,持续>15分钟不缓解
● 疼痛放射到左肩、后背、脖子、下巴、手臂
● 伴大汗、呼吸困难、恶心呕吐、头晕、濒死感
心血管内科联系方式
010-68757174
010-68751749
随访电话:13001189890













